目次
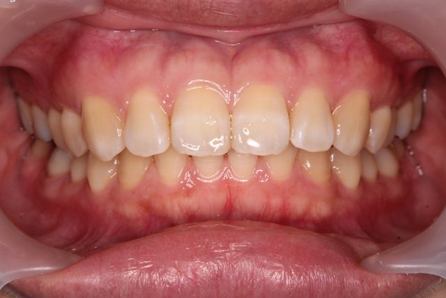
MTMで内側に引っ込んだ歯を治療した症例
カウンセリング時の患者様との相談内容
20代女性
- 左側の引っ込んだ歯が気になる
治療前・治療後

治療前

治療後
治療メモ
- 上顎の左側(向かって右)2番目の歯が内側に入っています
- 2番目の歯が入る隙間がないので、少し歯を削っています。
- 削る量は最小限に抑えており、治療前後で歯の形に影響はありません。
- MTM(部分矯正)は保険適用外(約23万円)、治療期間は10ヶ月で終了しています。来院頻度は3~4週間に1度です。
MTMで上下前歯の歯並びを治療した症例2
カウンセリング時の患者様との相談内容
40代女性
- 上下のガタガタが気になる
- 上下かみ合わせが逆になっているのが気になる
治療前・治療後

治療前

治療後
治療メモ
- 右上2番目の歯が引っ込んでいます
- 左下正面の歯がでています
- 咬んだときに右上と正面で咬み合わせが逆になっており上の歯が下の歯よりも内側に入っています
- MTM(部分矯正)は保険適用外(上下で約41万円)、治療期間は12ヶ月で終了しています。来院頻度は3~4週間に1度です
MTMで上の前歯の隙間をを治療した症例
カウンセリング時の患者様との相談内容
30代女性
- 上の前歯の隙間が気になる
治療前・治療後

治療前

治療後
治療メモ
- 上の前歯の真ん中に隙間があります
- 最終的に隙間が残るので左右3番目の歯の後ろに白い樹脂をつめています。
- 正面からは樹脂は見えません
- MTM(部分矯正)は保険適用外(約20万円)、治療期間は6ヶ月で終了しています。来院頻度は3~4週間に1度です
MTMで右の前歯を前に出した症例
カウンセリング時の患者様との相談内容
20代男性
- 上の前歯の引っ込んだのが気になる
治療前・治療後

治療前

治療後
治療メモ
- 上の右2番目の前歯が奥に引っ込んでいます。
- 隙間が足りないために端を少し削っています
- MTM(部分矯正)は保険適用外(約21万円)、治療期間は11ヶ月で終了しています。来院頻度は3~4週間に1度です
MTMで上の前歯の歯並びを治療した症例1
カウンセリング時の患者様との相談内容
20代女性
- 上のガタガタが気になる
- 高校生の頃矯正をしていたが後戻りした
- 特に左上の前歯が一本出ているのが気になる
治療前・治療後

治療前

治療後
治療メモ
- 左上1番目の歯が前に出ています
- 左上2番目の歯が引っ込んでいます
- 隙間が足りないために歯を少し削っています
- MTM(部分矯正)は保険適用外(約23万円)、治療期間は約5ヶ月で終了しています。来院頻度は3~4週間に1度です
MTMで上の前歯の歯並びを治療した症例2
カウンセリング時の患者様との相談内容
30代女性
- 左上1番目の歯が出ているのが気になる
治療前・治療後

治療前

治療後
治療メモ
- 左上1番目の歯が外側に回転しています
- 右上2番目の歯が内側に回転しています
- 隙間が足りないために歯を少し削っています
- MTM(部分矯正)は保険適用外(約24万円)、治療期間は約7ヶ月で終了しています。来院頻度は3~4週間に1度です