目次
入れ歯をインプラントでやり変えた症例1
カウンセリング時の患者様との相談内容
50代男性
- 入れ歯に痛いなどの不満はなかった。
- 煩わしく、しばらく付けないうちに、入らなくなった。
- 口の中から入れ歯を無くしたい。
- 入れ歯ではなくなるのであれば、多少の費用、回数の負担は構わない。
治療前・治療後

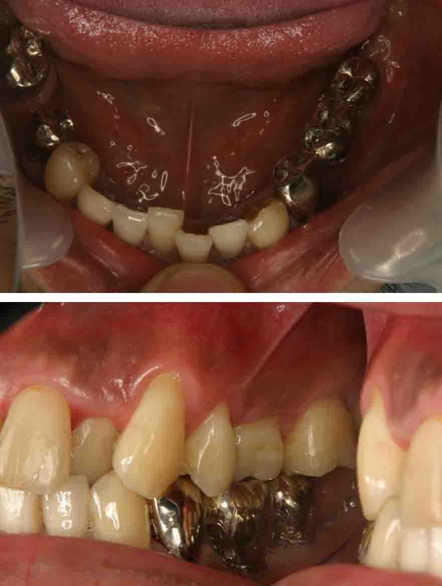
治療前

治療後
治療メモ
- 右側(向かって左)で2本、左側(向かって右)で3本、歯がありません
- 右側の欠損部分は、骨の状態によりインプラント治療が不可能なため、ブリッジで治療しています。
- 左側の欠損部分は、奥に歯がなく、ブリッジ治療は不可能なため、インプラントで治療しています。
- 全体の治療費の面から、一番奥に1本だけインプラントを入れ、インプラントと天然歯でブリッジを作製しています。(天然歯はすでに被せ物がしてあり、歯を削るデメリットは考慮する必要がありません)
- 全体的な治療費を抑えるため、インプラント治療(保険適用外)を最小限にし、その代わり左右とも4,5番目の歯を審美性のよい硬質レジン前装冠(保険適用外)で治療しています。
- 治療期間は歯周病、他の虫歯、ブリッジ、インプラント治療全体で約半年間で終了しています。
- 費用や時間的負担はあったが、入れ歯もなくなり、口の中がスッキリしたそうです。
左下の欠損部にインプラントを入れた症例
カウンセリング時の患者様との相談内容
20代男性
- 嘔吐反射(舌の奥のほうを触ると吐き気がする)があり、歯の治療が苦手で長い間歯科医院には行っていない。
- 年齢的(20代)にも入れ歯は入れたくない。
- あまりお金も掛けられない。
治療前・治療後

治療前

治療後
治療メモ
- 左側(向かって右)では3本歯がありません。
- 奥に歯がなく、入れ歯を避けるには、インプラント治療しか選択の余地がありません。
- 全体的な費用を抑えため、インプラントを奥に一本だけ入れ、天然歯とブリッジで治療しています。
- 治療期間は歯周病、他の虫歯、インプラント治療全体で約半年間で終了しています。